Pacifica Dentist

How to Rebuild a Broken Smile

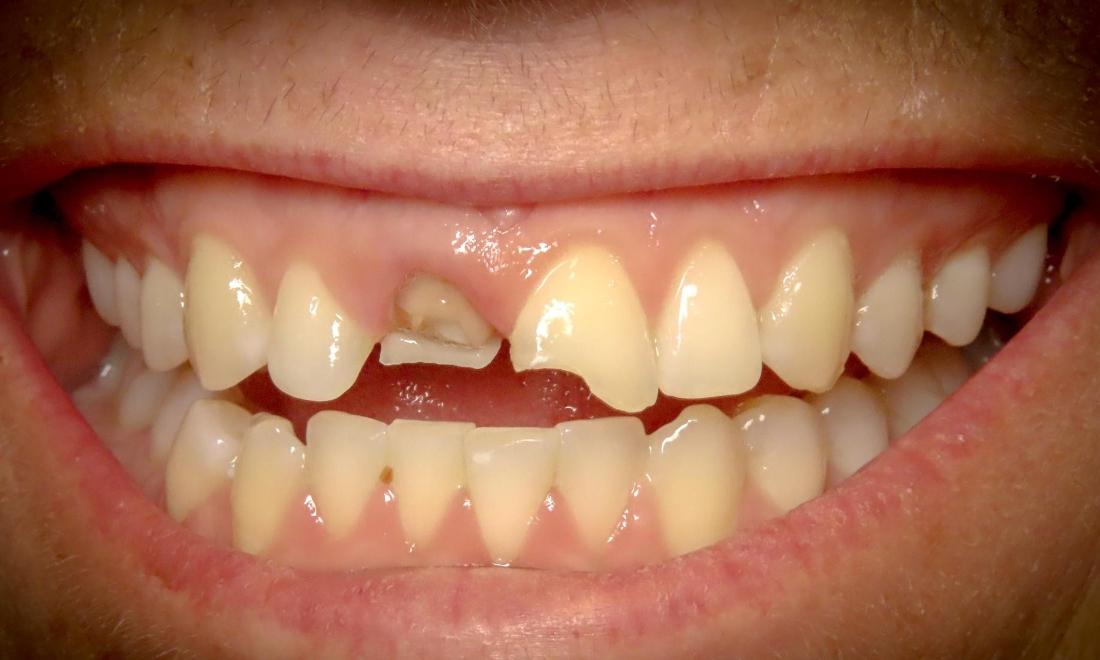
This patient was hit in the face and broke her front teeth. Unfortunately the trauma to the one of the front teeth was too great and the tooth had to be removed. Dr. Jen Kin replaced these teeth with a dental implant and a porcelain crown. The patient was happy with the outcome and the end result ultimately gave her the confidence to smile again.  

Ready to book an appointment?
If you have difficulty using our website, please email us or call us at (650) 359-1646
View the ADA Accessibility Statement