Cosmetic Dentistry Pacifica CA
We live in a fast-paced world where your smile needs to be camera-ready at all times! 
But what if you don’t feel confident about how your teeth look? You might feel self-conscious about your smile. You may even be subconsciously hiding it from other people, which could keep you from interacting with others the way you would like to.
Our dentists have extensive training in the field of cosmetic dentistry, and we’re excited to offer a wide range of services that will help you achieve the smile you’ve always wanted.
Dr. Henspetter and Dr. Jen Kin take the time to discuss your smile goals with you so they can recommend the dental procedures that will help you reach your goals. Your cosmetic treatment plan is customized and tailored just for you. We never use a one-size-fits-all approach.
Cosmetic Dentistry in Pacifica, CA
Here are some of the cosmetic dental services our dentists may include in your treatment plan.
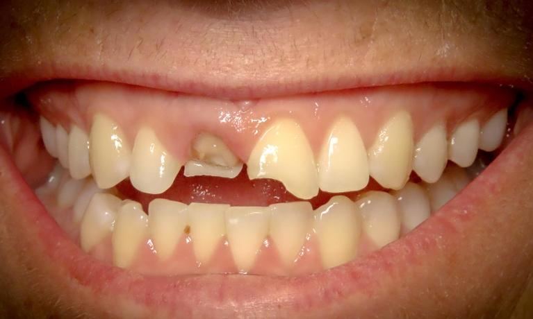
Porcelain Veneers or Dental Bonding
When you’re dealing with small cosmetic imperfections like discolored or chipped teeth, you may be surprised to learn that there are excellent and affordable solutions for your smile.
Dental veneers are designed to cover imperfections and create a more uniform, symmetrical smile. We make porcelain veneers in a dental lab, and they can redesign your smile.
We make composite resin veneers in our dental office with the same tooth-colored material we use for dental fillings. This type of veneer tends to be less expensive than porcelain veneers; however, they don’t typically last as long.
Both composite and porcelain veneers in Pacifica can solve these smile problems:
- Broken or chipped teeth
- Tooth stains or discoloration
- Gaps or spaces between teeth
- Tooth size discrepancies
Tooth-Colored Fillings
If you have tooth decay or cavities plaguing your smile, you’ll be glad to know that we no longer use unsightly metal amalgam material for dental fillings.
We make today’s fillings out of customizable composite resin that we can blend seamlessly with your tooth, so it’s not noticeable when you smile.
These fillings are also bonded directly to your tooth and are extremely durable, so you don’t have to worry about breakdown.
Professional Teeth Whitening
Does your smile need a boost? Sometimes a brighter smile may be all you need to take years off your appearance.
At Cabrillo Family Dental Care, we offer professional take-home teeth whitening kits that allow you to whiten your teeth whenever it’s most convenient for you.
The best part is that these kits contain customized plastic whitening trays that we make by taking impressions of your teeth. This means that they’re made just for you, which ensures better results and increased protection for your gums or soft tissues from excess bleaching gel that may escape from ill-fitting teeth whitening trays.
Invisalign
If you’re concerned about the appearance of your smile because of crooked teeth, Invisalign may be an excellent solution for you to straighten your teeth without having to wear braces.
Clear plastic aligners replace brackets and wires, allowing you discretion and efficiency when you straighten your teeth.
Call Us Today to Learn More about Cosmetic Dentistry in Pacifica
If you’d like to learn more about what’s possible for your smile, contact Cabrillo Family Dental Care today.