Smile Gallery: Dental Implants
We love to change lives through dentistry! Take a look at these before and after photos of our work to see what's possible for your smile.




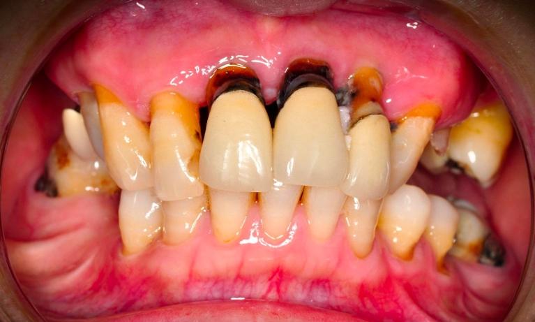
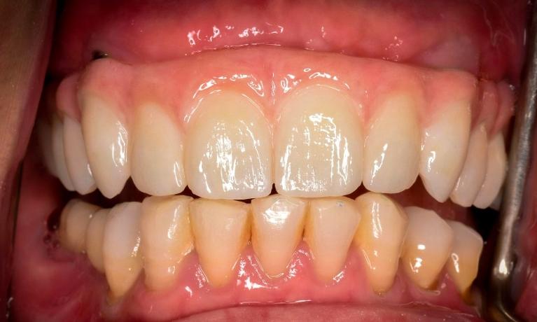
This patient of ours was one of the nicest people we've ever treated. This kind individual had a great attitude, but was never confident in his smile and felt his teeth were holding him back. We restored his smile with dental implants and he told us in the span of several months we "changed his life". These transformations are possible with technology, creativity, and ingenuity that we aim to offer here at Cabrillo Family Dental Care.



Bill couldn't eat what he wanted, let alone smile confidently before coming to us for treatment. We were able to remove his failing upper teeth and replace them with dental implants. Now Bill can eat the foods he loves and show off his new smile.


This patient was missing many teeth and we treated her with the most technologically advanced dental implant procedures currently available. Technology allows us to treatment plan almost an entire case start to finish virtually making the end results much more predictable and pleasing.


This patient was unhappy with her denture and wanted a solution where she no longer needs to take her teeth out every night. Dental implants allowed us to help her get the results she wanted.


This patient was hit in the face and broke her front teeth. Unfortunately the trauma to the one of the front teeth was too great and the tooth had to be removed. Dr. Jen Kin replaced these teeth with a dental implant and a porcelain crown. The patient was happy with the outcome and the end result ultimately gave her the confidence to smile again.


This patient came in with an oral condition that was untreatable by any attempts to save their teeth. For these cases the only thing that can be done is to remove the teeth and restore their mouth with a foundation of dental implants. Here Dr. Jen Kin rebuilt his patient's smile by working with some of the country's best dental labs, utilizing a mix cutting edge facial scanning technology and sound fundamental prosthodontic principles.